Theileria orientalis in cows and bulls in New York state
The Animal Health Diagnostic Center (AHDC) recently diagnosed Theileria orientalis, genotype Ikeda, in multiple cows and bulls in a cow-calf herd in New York state (NYS) which has a history of purchasing cattle from other regions of the state and country.
Bovine infectious anemia, caused by Theileria orientalis, is an emerging disease of cattle in the United States (U.S.).5 Theileria orientalis is a tick-borne hemoparasite capable of causing hemolytic anemia, pyrexia, icterus, malaise, ill thrift, sporadic abortions and death in all ages of cattle.6 There are three main genotypes of T. orientalis circulating in the U.S. that predict pathogenicity: Ikeda (associated with the most severe clinical signs), Chitose (mild or no clinical signs) and Buffeli (no clinical signs).1 Surviving cattle are infected for life and infection (especially with the Ikeda genotype) can be economically devastating due to decreased milk production, reproductive losses, and morbidity and mortality.3 Carrier animals are capable of recrudescing clinical disease during periods of stress. On average, infection with T. orientalis, Ikeda results in 5% mortality, but naïve herds typically experience higher mortality rates (even up to 90%) while endemic regions often see lower rates. The primary tick vector is Haemaphysalis longicornis (Asian longhorned tick) which emerged in the U.S. in 2017.5 In addition, there is a risk of mechanical transmission occurring due to biting flies or lice, or iatrogenic transmission due to shared needles or other blood-contaminated equipment.2
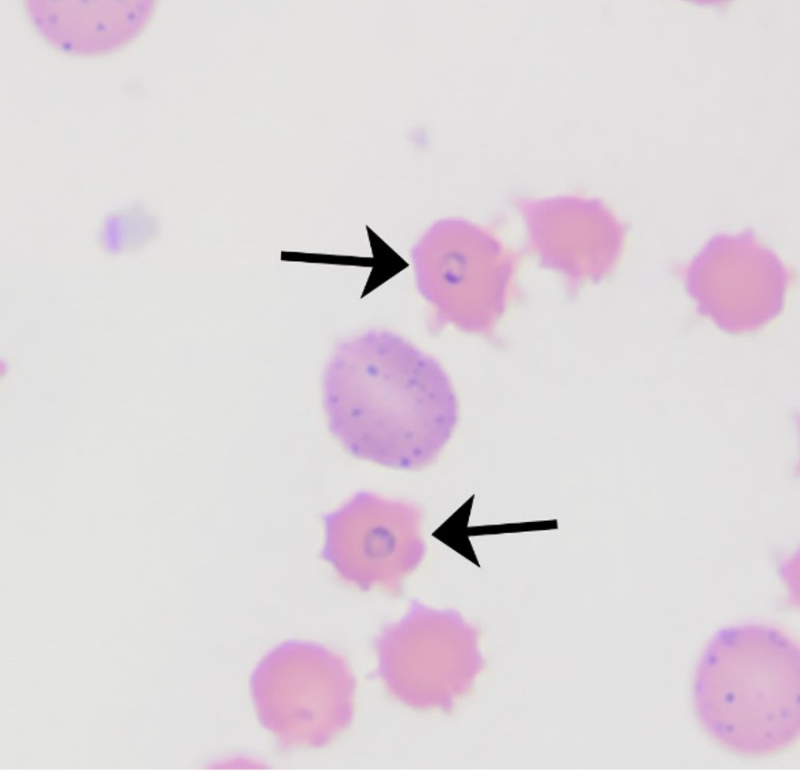
Diagnosis is typically achieved with PCR testing of EDTA whole blood samples (or the spleen in postmortem situations). Additional PCR testing to characterize the genotype can then be performed. Piroplasms in red blood cells (Figure 1) may be detected on blood smear examination, but this method is not as sensitive as PCR and does not allow for identification to the genotypic level. Coinfections with Anaplasma marginale4 and bovine leukosis virus (BLV) are common with theileriosis.
Theileria orientalis is reportable in NYS. There is no effective drug approved for use in food animals for theileriosis in the U.S., nor is there a vaccine, and vector control is often infeasible. The best strategy for mitigation is to avoid introducing the parasite to naïve herds by testing animals prior to purchase or movement.
References
- Dinkel KD, Herndon DR, Noh SM, Lahmers KK, Todd SM, Ueti MW, Scoles GA, Mason KL, Fry LM. A U.S. isolate of Theileria orientalis, Ikeda genotype, is transmitted to cattle by the invasive Asian longhorned tick, Haemaphysalis longicornis. Parasit Vectors. 2021 Mar 16;14(1):157. doi: 10.1186/s13071-021-04659-9. PMID: 33726815; PMCID: PMC7962341.
- Hammer, J.F., Jenkins, C., Bogema, D. et al. Mechanical transfer of Theileria orientalis: possible roles of biting arthropods, colostrum and husbandry practices in disease transmission. Parasites Vectors 9, 34 (2016). https://doi.org/10.1186/s13071-016-1323-x
- Lawrence K, Gedye K, McFadden A, Pulford D, Heath A, Pomroy W. Review of the New Zealand Theileria orientalis Ikeda Type Epidemic and Epidemiological Research since 2012. Pathogens. 2021 Oct 19;10(10):1346. doi: 10.3390/pathogens10101346. PMID: 34684296; PMCID: PMC8540055.
- Oakes VJ, Todd SM, Carbonello AA, Michalak P, Lahmers KK. Coinfection of cattle in Virginia with Theileria orientalis Ikeda genotype and Anaplasma marginale. J Vet Diagn Invest. 2022 Jan;34(1):36-41. doi: 10.1177/10406387211057627. Epub 2021 Nov 11. PMID: 34763583; PMCID: PMC8689038.
- Oakes VJ, Yabsley MJ, Schwartz D, LeRoith T, Bissett C, Broaddus C, Schlater JL, Todd SM, Boes KM, Brookhart M, Lahmers KK. Theileria orientalis Ikeda Genotype in Cattle, Virginia, USA. Emerg Infect Dis. 2019 Sep;25(9):1653-1659. doi: 10.3201/eid2509.190088. Epub 2019 Sep 17. PMID: 31237835; PMCID: PMC6711211.
- Watts, J., Playford, M., & Hickey, K. (2015). Theileria orientalis: a review. New Zealand Veterinary Journal, 64(1), 3–9.
