Bernese mountain dog recovers from patellar luxation
Rescued by his current owner, Max was born with abnormal rear limbs. The compassionate care he received by the Cornell University Hospital for Animals (CUHA) restored his ability to frolic on all fours.
Max is such a good boy!
This one-year-old Bernese mountain dog had a double patellar luxation, a condition that prevented him from walking normally and left him in pain.
A patellar luxation is the medical term for a dislocated kneecap. This happens when the kneecap slips out of the groove where it normally sits.
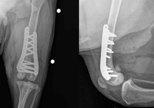
Max didn't just have a regular patellar luxation; both of his femurs were deformed and need to be cut and realigned.
The advanced surgery was performed by a team of CUHA surgeons led by Dr. Ursula Krotscheck.
They cut the femur above the knee to realign the bone, and added an implant to correct its shape. They also reshaped the groove in which the kneecap glides to make it more difficult for it to slide out of position.
Six months after a successful surgery on the left leg, the team repeated the procedure on the right.
Max was discharged with a full regime of physical therapy and daily exercises to help his recovery.
Today, Max is doing well at home and is no longer limping.
"Max is a wonderful patient, and we are happy to see him 'graduate' from Cornell," wrote Krotscheck on the discharge papers.
"His outcome is excellent because of the combination of a good dog, dedicated owner and advanced 3-dimensional planning for deformity correction," says Krotscheck.
For orthopedic problems, she urges owners to seek care from a Diplomate of the American College of Veterinary Surgery.
"We have the training and tools to take care of a wide variety of problems."
