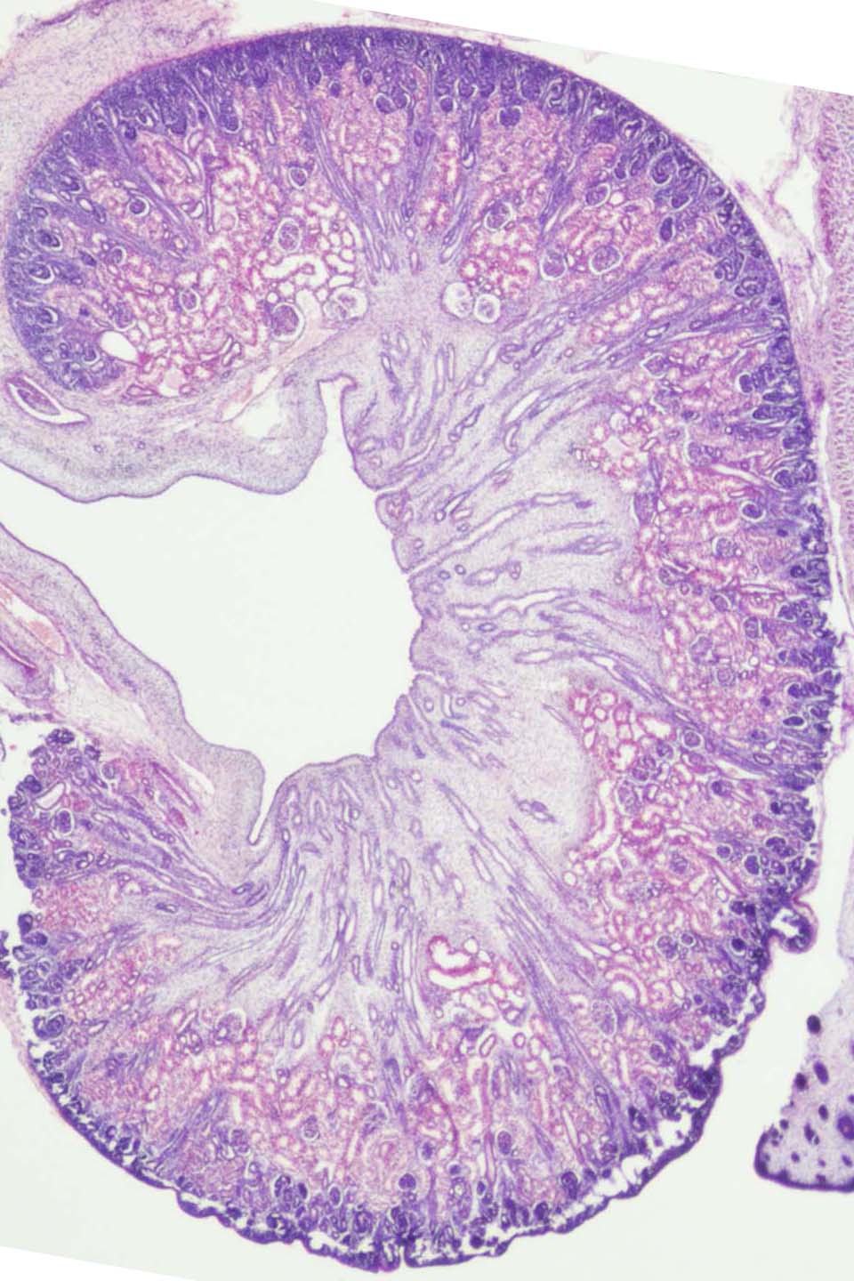
Kidney
Stage:
CfS > 23
Day:
d43
Companion Animal Hospital in Ithaca, NY for cats, dogs, exotics, and wildlife
607.253.3060 DirectionsEquine and Nemo Farm Animal Hospitals in Ithaca, NY for horses and farm animals
607.253.3100 DirectionsAmbulatory and Production Medicine for service on farms within 30 miles of Ithaca, NY
607.253.3140 DirectionsAnimal Health Diagnostic Center New York State Veterinary Diagnostic Laboratory
607.253.3900 DirectionsCornell University College of Veterinary Medicine Ithaca, New York 14853-6401
607.253.3000 DirectionsCfS > 23
d43