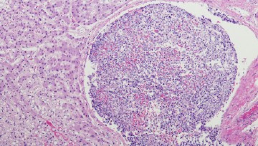
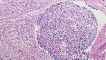
Drug lifts barrier for immunotherapy to fight rare liver cancer
Wednesday, February 18, 2026 - 10:46am
Note: This news item features content from another page. View the featured content for this news item.
Companion Animal Hospital in Ithaca, NY for cats, dogs, exotics, and wildlife
607.253.3060 DirectionsEquine and Nemo Farm Animal Hospitals in Ithaca, NY for horses and farm animals
607.253.3100 DirectionsAmbulatory and Production Medicine for service on farms within 30 miles of Ithaca, NY
607.253.3140 DirectionsAnimal Health Diagnostic Center New York State Veterinary Diagnostic Laboratory
607.253.3900 DirectionsCornell University College of Veterinary Medicine Ithaca, New York 14853-6401
607.253.3000 DirectionsNote: This news item features content from another page. View the featured content for this news item.